WEBER extrusion
Wear protection packages

In areas where machines are in use, wear is an unavoidable side effect. Especially in systems where considerable forces are at work, wear is all the more pronounced. At WEBER, we have developed effective protective measures to combat wear in its various forms. Our solutions focus on the three main types of wear: abrasive wear, which is caused by mechanical abrasion, corrosive wear, which is caused by chemical reactions, and adhesive wear, which is caused by friction welding, for example.

WEBER basic

Screw and barrel nitrided


Screws and cylinders for standard applications made of nitriding steel. High surface hardnesses can be achieved by the choosing the right nitriding steel. Starting from a certain wear limit, we recommend post-nitriding for regeneration with a view to increasing the service life of the screw and cylinder.

Recommended for the following applications: Pipes and profiles with low filler contents. Low protection against wear.

WEBER advanced

Screw and barrel hardened & nitrided


Screws and cylinders made of high-quality hot-work steel. For maximum hardening depth, screws and cylinders are hardened and then nitrided. In comparison with nitriding steel, a higher surface hardness with good corrosion resistance can be achieved by choosing the right base material. Starting from a certain wear limit, we recommend post-nitriding for regeneration with a view to increasing the service life of the screw and cylinder.

Recommended for the following applications: Window profile formulations with increased titanium dioxide content, pipes formulations with higher filler contents or regranulate. For recipes with abrasive fillers.

WEBER premium

Screw armoured & nitrided, WC-bimetallic barrel


A combination of an armoured screw and tungsten carbide bi-metallic cylinder for maximum wear protection. A specially matched friction pairing can be achieved by choosing the right filler material. This protects the web surface of the screw against high abrasion wear. Starting from a certain wear limit, we recommend regeneration by multilayer build-up welding and subsequent post-nitriding.

Recommended for the following applications: Our premium solution for the most discerning demands, suitable for applications with extremely high filler contents as well as for processing of recyclates from post-consumer products.

WEBER special

Screw armoured & WC-coated, WC-bimetallic barrel 


A combination of armoured screw and tungsten carbide bimetallic barrel for maximum wear protection. By choosing the right hardfacing material, a particularly well-matched friction pairing can be achieved. The flight surface of the screw is thus protected against high abrasion wear. In addition, maximum wear protection is achieved on the screw flank and core. The tungsten carbide coating can be used over the entire screw length or only in certain areas. Above a certain wear limit, we recommend regeneration by multi-layer build-up welding and subsequent recoating.

Recommended for the following applications: For special applications such as wood plastic compounds. Suitable for extrudates with a very high content of abrasive fillers, for example for the extrusion of pencils.

WEBER Wear protection

DS wear measuring system

Our brand new product: the WEBER measuring and inspection system PROBIUS Ultimate
The system can be used as a tool for quality assurance and assessing the wear of twin-screw barrels and executes a non-contact scanning of radial sections, measuring different geometric parameters such as diameter and wear vertically/diagonally.

Learn more

____________________________

Innovations
Window profile extrusion

Microstructure of the tungsten carbide systems

Microstructure of the tungsten carbide systems: Hard-facing welding process
20 Mikrometer

Hard-facing: welding process

Microstructure of the tungsten carbide systems: Hard-facing welding process
200 Mikrometer

Hard-facing: welding process

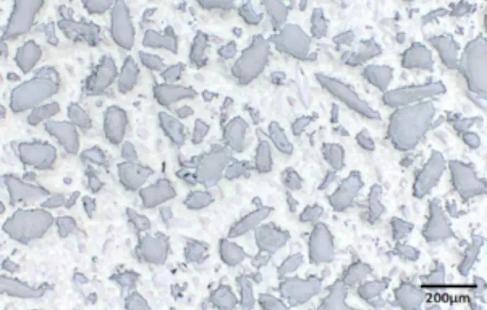
Microstructure of the tungsten carbide systems: Hard-facing bimetallic
200 Mikrometer

Hard-facing: Bimetallic

Microstructure of the tungsten carbide systems: Hard-facing bimetallic
100 Mikrometer

Hard-facing: Bimetallic

Microstructure of the tungsten carbide systems: Hard-facing laser-clatting
500 Mikrometer

Hard-facing: Laser-Cladding

WEBER service

Does your extruder or extrusion line require maintenance, or do worn parts need to be replaced? Contact our Service team now. Our contact persons and representatives are here to support you with help and advice worldwide.


WEBER direct contact

Do not hesitate to contact us now. We will be pleased to advise you about extrusion and extruder technology. Our contact persons and representatives are here to suipport you with help and advice worldwide.


Contact
Contact, Opening Hours, Locations

Solutions for the future
Please contact us

Benefit from our expert knowledge: We will be pleased to advise you and together we will find a solution that will perfectly meet your requirements.  Do not hesitate to contact us. We also develop your solution for the future together with you.


Contact